• Arkè Media Group
  • Radio Preveza 93
  • Arkè Advertising
  • Όροι και Προϋποθέσεις
  • Επικοινωνία
Τετάρτη, 29 Απριλίου 2026, 21:30
  • Αρχική
  • Κόσμος
  • Πολιτική
  • Τοπικά
  • Περιφερειακά
  • Υγεία
No Result
View All Result
PrevezaPost
No Result
View All Result
ADVERTISEMENT
Home Κόσμος

Άφωνοι οι γιατροί: Βρήκαν σκουλήκι που είχε γεννήσει αυγά στον εγκέφαλο άνδρα

Από ΟΜΑΔΑ ΣΥΝΤΑΞΗΣ
10 Μαρτίου 2024
στα Κόσμος
Share on FacebookShare on Twitter


Άφωνοι έμειναν οι γιατροί στη Φλόριντα των ΗΠΑ με αυτό που ανακάλυψαν σε 52χρονο ασθενή. Ο άνδρας, που πιστεύεται ότι έπασχε από σοβαρές ημικρανίες, αντιμετώπιζε στην πραγματικότητα μια παράξενη μόλυνση από κεστοειδή σκώληκα στον εγκέφαλό του που προκλήθηκε από την κατανάλωση κακοψημένου μπέικον.

Ο ασθενής, η περίπτωση του οποίου δημοσιεύτηκε πρόσφατα στο American Journal of Case Reports, παραπονιόταν επί εβδομάδες ότι είχε έντονους πονοκεφάλους για διάστημα τεσσάρων μηνών μετά την κατανάλωση του μολυσμένου προϊόντος από χοιρινό.

Πώς προκλήθηκε η μόλυνση από το περίεργο παράσιτο

Οι ειδικοί ανέφεραν ότι η «προτίμησή του για μπέικον, λίγο ψημένο» δεν ήταν η μοναδική αιτία της συγκεκριμένης, παράξενης πάθησης. Μάλλον, ήταν ότι το αγαπημένο πρωινό του φαγητό είχε χαλάσει, και το ανεπαρκές ψήσιμο τον έκανε εξαιρετικά ευάλωτο.

Αυτός ο συνδυασμός παραγόντων οδήγησε σε μια περίπτωση νευροκυστικέρκωσης. Είναι ο επιστημονικός όρος για έναν παράσιτο που γεννά αυγά τα οποία μολύνουν διάφορες περιοχές του σώματος.  Μάλιστα, η νευροκυστικέρκωση μπορεί να είναι μεταδοτική.

«Είναι ιστορικά πολύ ασυνήθιστο να συναντάμε μολυσμένο χοιρινό κρέας στις Ηνωμένες Πολιτείες και στην περίπτωσή μας μπορεί να έχει επιπτώσεις στη δημόσια υγεία», έγραψαν οι ερευνητές.

Γιατί είναι μεταδοτική η ασθένεια

Σύμφωνα με το CDC, εάν τα άτομα που έχουν προσβληθεί δεν πλένουν σχολαστικά τα χέρια τους μετά την αφόδευση, μπορούν να μεταδώσουν τα αυγά του παρασίτου σε άλλα μέλη της οικογένειάς τους, που μένουν στο ίδιο σπίτι, ειδικά μέσω του φαγητού.

Το CDC αναφέρει ότι αυτή η ασυνήθιστη ασθένεια μπορεί να προληφθεί, αλλά παρόλα αυτά οδηγεί σε νοσηλεία περίπου 1.000 Αμερικανούς ετησίως.

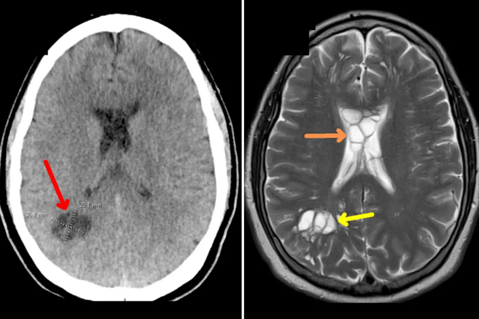
Στην συγκεκριμένη περίπτωση, ο ασθενής εκτός από το οίδημα, ανέπτυξε κύστεις και στις δύο πλευρές του εγκεφάλου του. Αργότερα, αυτό αποδείχθηκε ότι προκλήθηκε από τo παράσιτο (κεστοειδής σκώληκας) που είχε γεννήσει αυγά μέσα στον εγκέφαλο του άνδρα.

Η θεραπεία

Ο ασθενής θεραπεύτηκε με αλβενδαζόλη, το οποίο οδήγησε σε βελτίωση μετά από δύο εβδομάδες. Η αλβενδαζόλη είναι ένα φάρμακο που χρησιμοποιείται για τη θεραπεία μιας ποικιλίας παρασιτικών ελμινθικών λοιμώξεων.

Επειδή σε τέσσερις στις πέντε περιπτώσεις υπάρχει κρίση, οι γιατροί καλούνται να «διατηρούν υψηλό δείκτη υποψίας και να λαμβάνουν λεπτομερές ιστορικό από ασθενείς με αλλαγές στο μοτίβο της ημικρανίας τους».



Πηγή

www.enikos.gr

Previous Post

Αποκαταστάθηκε η κυκλοφορία των οχημάτων στο κέντρο

Next Post

Ορίστηκαν τα μέλη της επιτροπής εκλογικού αγώνα για τις ευρωεκλογές

Next Post

Ορίστηκαν τα μέλη της επιτροπής εκλογικού αγώνα για τις ευρωεκλογές

PrevezaPost

PrevezaPost

  • Arkè Media Group
  • Radio Preveza 93
  • Arkè Advertising
  • Όροι και Προϋποθέσεις
  • Επικοινωνία

© 2022 Prevezapost Inspired by Arkè Adv Partner of Arkè Media

No Result
View All Result
  • Αρχική
  • Κόσμος
  • Πολιτική
  • Τοπικά
  • Περιφερειακά
  • Υγεία

© 2022 Prevezapost Inspired by Arkè Adv Partner of Arkè Media

Εμείς και οι συνεργάτες μας αποθηκεύουμε ή έχουμε πρόσβαση σε πληροφορίες σε συσκευές, όπως cookies και επεξεργαζόμαστε προσωπικά δεδομένα, όπως μοναδικά αναγνωριστικά και τυπικές πληροφορίες που αποστέλλονται από μια συσκευή για τους σκοπούς που περιγράφονται παρακάτω. Μπορείτε να κάνετε κλικ για να συναινέσετε στην επεξεργασία από εμάς και τους συνεργάτες μας για τους εν λόγω σκοπούς. Εναλλακτικά, μπορείτε να κάνετε κλικ για να αρνηθείτε να συναινέστε ή να αποκτήσετε πρόσβαση σε πιο λεπτομερείς πληροφορίες και να αλλάξετε τις προτιμήσεις σας πριν συναινέσετε. Οι προτιμήσεις σας θα ισχύουν μόνο για αυτόν τον ιστότοπο. Λάβετε υπόψη ότι κάποια επεξεργασία των προσωπικών σας δεδομένων ενδέχεται να μην απαιτεί τη συγκατάθεσή σας, αλλά έχετε το δικαίωμα να αρνηθείτε αυτήν την επεξεργασία. Μπορείτε πάντα να αλλάξετε τις προτιμήσεις σας επιστρέφοντας σε αυτόν τον ιστότοπο ή επισκεπτόμενοι την πολιτική απορρήτου μας.